Invisalign treatment is the process of wearing a series of clear, removable aligners that gradually straighten your teeth.
The clear aligners are virtually invisible - people may not even notice you’re wearing them.
You can remove them to eat and drink, to brush and floss, or for special occasions.
Book your free assessment at our specialist practice today!
Call 01452 332444• Specialist Orthodontic practice in Gloucester
• Free Invisalign assessment
• No deposit required
• 0% finance available
• Flexible monthly payments
• 50% off whitening post Invisalign treatment
• Noticeable improvements from 4 months
• 3D digital scanning
• Flexible daily appointments



• Invisalign aligners are discreet to wear and easy to take out when you need to.
• You could see results in as little as 6 months, depending on the complexity of your case.
• The aligners are made of SmartTrack material, so they are more comfortable to wear and easier to put on and take off.
• You get personalised treatment based on years of research and intelligence from millions of patients.
We want to make the journey to a perfect smile as affordable
and straight forward as possible by offering various payment options.
• You can begin your treatment with no deposit! With our 0% finance option.
• We offer in house payment schemes that are more flexible.
• £200 treatment discount if you have any family members who have had private treatment with us!
• £50 scan refunded when you go ahead with treatment!
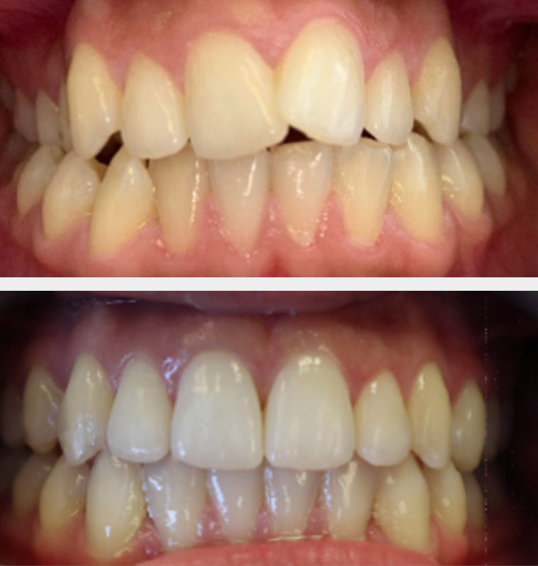
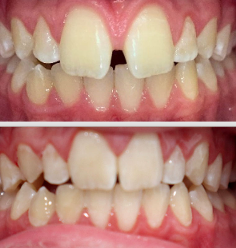
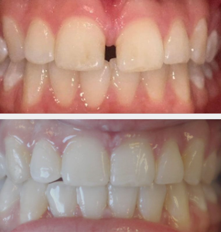
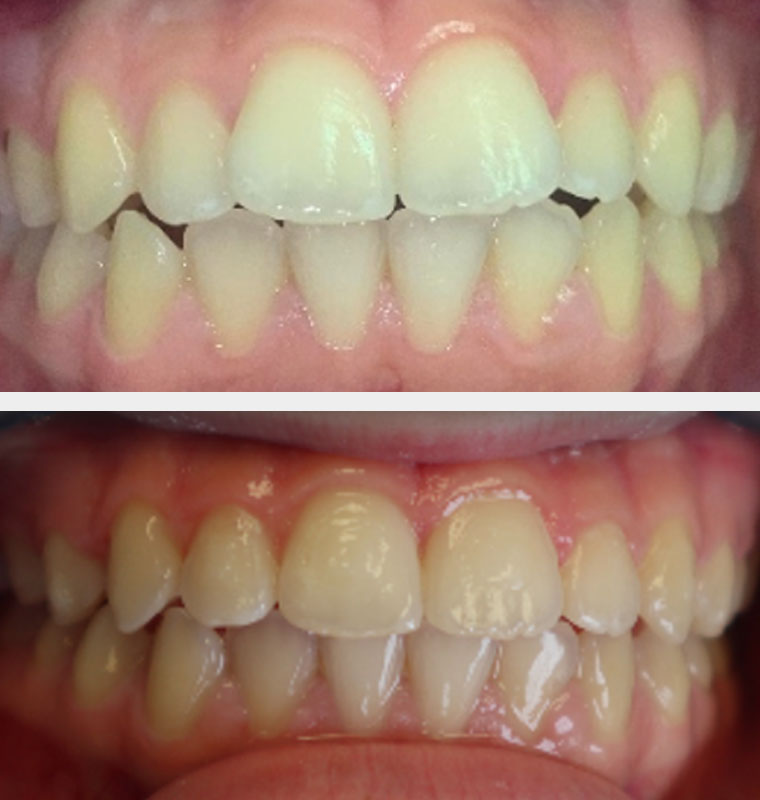
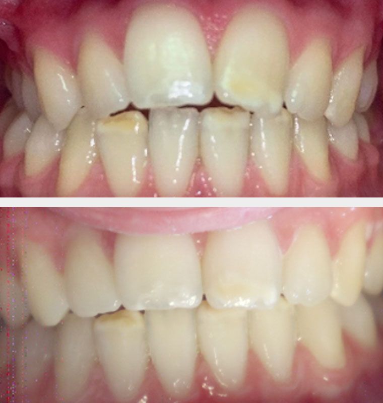
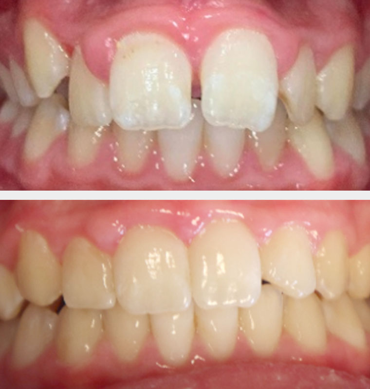
The images below show a few examples of the transformations that are possible with Invisalign Teen.



If you are looking to spread the cost of your treatment, please ask us about interest free finance.
We offer a 0% APR monthly payment plan with no deposit required.
Please note that you must be over 18 to apply.
If you’d like to improve your smile, quickly and comfortably, then request a free smile assessment
with one of our team and we will get back in touch as soon as possible.